![]()  | 
  
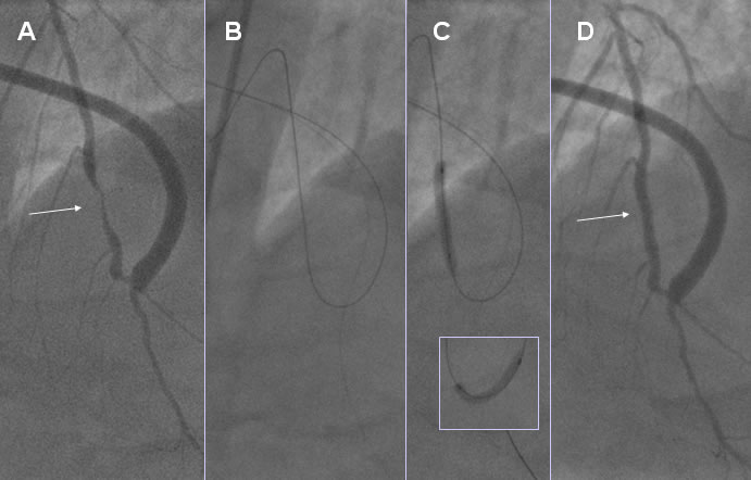
Figura 4. A, Stenosi serrata (freccia) nel tratto medio dell'arteria DA, occlusa subito dopo l'origine dal TC. Tre importanti rami settali e il primo ramo diagonale non vengono perciò sufficientemente perfusi dal graft venoso (pervio) anastomizzato nel tratto medio-distale della DA. B, un filo guida a medio supporto (BMW, Guidant) è stato fatto avanzare nel tratto distale della DA (prossimamente al tratto molto angolato da attraversare) in parallelo ad un filo guida idrofilico e più flessibile (Choice PT, Boston Sciertific) che è stato fatto avanzare in via retrograda nella DA media fino all'interno del primo ramo settale. C, angioplastica nel tratto medio della DA e sull'anastomosi del graft a livello della curva molto angolata di quasi 180°. D, Risultato finale dopo impianto di uno stent Medtronic AVE nel tratto medio della DA. In questo caso il filo guida a medio supporto ha notevolmente facilitato il successivo posizionamento in via retrograda sulla DA media del filo guida più flessibile che ha facilitato il passaggio del palloncino da angioplastica e l'impianto di stent.  |